
极目新闻通讯员 胡梦 曾潇潇
不少心脏隐患早期并无明显症状,容易被忽视,待到发病时往往已造成不可逆损伤。近日,湖北省中医院心血管内科运用微创介入技术,成功救治两名房间隔缺损患者。其中一名年轻患者仅通过常规体检发现病情。这也提醒大家,无症状心脏问题不可大意,定期体检、早诊早治,方能筑牢心脏健康防线。
据悉,两名患者年龄跨度较大,病情进展也各不相同。一名年轻白领在单位组织的体检中发现心脏存在缺损,缺口直径1.42厘米,当时身体没有任何不适症状,但考虑到长期血液分流可能损害心脏功能,主动选择就医治疗。另一名中老年患者则因反复出现胸闷气短症状前来就诊,经检查确诊为房间隔缺损,缺口直径1.35厘米,且已经出现轻度右心扩大,亟须接受治疗干预。
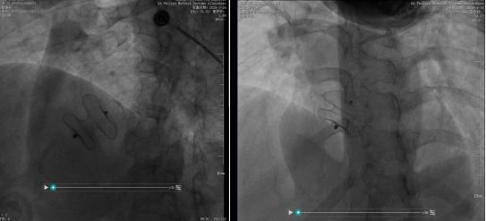
心血管内科刘亮主任带领团队对两名患者的病情进行了全面细致的评估,结合心脏超声等多项检查结果,充分论证后决定采用经导管介入封堵术为患者治疗。这种治疗方式是目前治疗房间隔缺损的主流微创手段,无需进行开胸手术,仅通过大腿根部的股静脉进行穿刺,将特制的封堵器精准送达缺损部位并释放,即可完成心脏缺口的修补。与传统开胸手术相比,这种方式创伤极小,出血量少,患者恢复速度快,还能最大程度减轻患者的痛苦,避免术后留下明显疤痕。
手术过程中,刘亮操作严谨,在影像设备的实时引导下,依次完成穿刺、送管、定位、释放封堵器等关键步骤。两台手术均历时数十分钟,全程患者生命体征平稳。术后即刻复查心脏彩超显示,封堵器位置固定、形态良好,房间隔缺损处无明显残余分流,手术全部达到预期效果。

图片为手术成功释放封堵器
刘亮指出,很多人对房间隔缺损存在认知误区,认为没有症状就不需要治疗。房间隔缺损是最常见的先天性心脏病之一,部分小型缺损可能在儿童期自行闭合,但如果3岁后仍未闭合,或者缺损较大已经出现不适症状,就需要及时进行干预。如果长期拖延不治,血液分流会持续加重右心和肺部的负担,可能引发右心衰竭、肺动脉高压等严重并发症,甚至会影响患者的预期寿命。
(来源:极目新闻)
更多精彩资讯请在应用市场下载“极目新闻”客户端,未经授权请勿转载,欢迎提供新闻线索,一经采纳即付报酬。24小时报料热线027-86777777。
中资优配提示:文章来自网络,不代表本站观点。